Tràn máu - tràn khí màng phổi tự phát là tình trạng hiếm gặp nhưng rất nguy hiểm, có thể gây suy hô hấp cấp, tụt huyết áp, đe dọa tính mạng nếu không được chẩn đoán, xử trí kịp thời.
Bệnh sởi đang có dấu hiệu quay trở lại với diễn biến khó lường, cha mẹ cần biết cách phòng tránh và chữa trị kịp thời, tránh biến chứng nguy kịch hoặc tử vong do sởi.
(khoahocdoisong.vn) - BSCKII Nguyễn Anh Tuấn, Trưởng khoa Hồi sức tích cực – chống độc, Bệnh viện Đa khoa tỉnh Tuyên Quang cho biết, bệnh viện vừa cứu sống bệnh nhân bị viêm tụy cấp hoại tử biến chứng viêm phổi rất nặng – hội chứng ARDS.
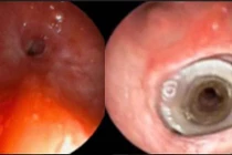
Mắc bệnh phổi tắc nghẽn mạn tính và đã từng được chỉ định đặt ống nội khí quản thở máy, thời gian gần đây, bệnh nhân Trần Văn T. cảm thấy khó thở nhiều, nội soi phế quản bác sĩ phát hiện bệnh nhân bị xơ sẹo gây chít hẹp đường thở, có nguy cơ tử vong cao.