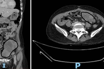
Bé gái 15 tuổi ở Hà Nội mắc u nhầy buồng trứng hiếm gặp
Các chuyên gia khuyến cáo, u buồng trứng có thể gặp ở mọi lứa tuổi, kể cả trẻ vị thành niên và thường phát triển âm thầm, ít biểu hiện rõ ràng ở giai đoạn đầu.
Việc chủ quan bỏ điều trị sau mổ sẽ làm tăng nguy cơ tái phát, khiến bệnh diễn tiến phức tạp, khó điều trị và tốn kém hơn rất nhiều.
Khối u buồng trứng gặp ở mọi lứa tuổi, từ trẻ em cho tới người già. U ác tính, phát hiện muộn dẫn tới di căn xa, ảnh hưởng đến tính mạng.