Cứu sống bệnh nhân bị đạn bắn xuyên ngực
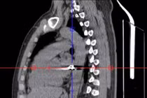
Việc cứu sống bệnh nhân trong trường hợp vết thương do đạn bắn xuyên ngực là một thành công đáng ghi nhận nhờ phản ứng nhanh trong cấp cứu.
Việc cứu sống bệnh nhân trong trường hợp vết thương do đạn bắn xuyên ngực là một thành công đáng ghi nhận nhờ phản ứng nhanh trong cấp cứu.