Nội soi là một trong những phương pháp an toàn, chính xác và hiệu quả để chẩn đoán các bệnh lý đường tiêu hóa. Vậy nội soi tiêu hóa sẽ giúp phát hiện được những bệnh gì? Khi nào nên thực hiện?
Bệnh nhân ung thư cần chế độ dinh dưỡng đầy đủ, biết cách chế biến và ăn theo đúng bệnh khi bị khó ăn, nôn trớ. Đặc biệt, cần tránh những quan điểm sai lầm trong ăn uống khi bị bệnh.
Sau kỳ nghỉ Tết, Sở Y tế TP HCM nhận được báo cáo của Bệnh viện Nhi đồng 2 (TP HCM) về hai trường hợp bệnh nhi nghi ngờ ngộ độc Botulinum toxin (nhập viện ngày 06/02/2024 và ngày 07/02/2024).
Rối loạn tiêu hóa là căn bệnh thường gặp ở trẻ nhỏ trong dịp Tết, bố mẹ hãy “bỏ túi” ngay các cách để phòng ngừa rối loạn tiêu hóa cho bé trong dịp Tết Nguyên đán sắp tới.
Xuất huyết tiêu hóa nếu chậm trễ và xử lý không đúng cách có thể đe dọa đến tính mạng. Vì vậy nếu thấy có dấu hiệu nôn, đại tiện phân đen, đi ngoài ra máu đỏ tươi cần đến ngay bệnh viện để tránh nguy hiểm đến tính mạng.
Có nhiều nguyên nhân gây đau bụng và nôn ở trẻ em. Đau bụng và nôn cấp tính nhiều khi là các dấu hiệu chỉ điểm của nhiều bệnh nguy hiểm cần phải được can thiệp khẩn cấp.
Theo "Hướng dẫn quản lý tại nhà đối với người mắc COVID-19", đối với F0 điều trị tại nhà là trẻ dưới 5 tuổi cần theo dõi các dấu hiệu: tinh thần, bú/ăn, đo thân nhiệt ít nhất 2 lần/ngày, đếm nhịp thở, mạch, đo SpO2 (nếu có máy đo), mầu sắc da, niêm mạc, rối loạn tiêu hóa.
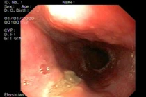
(khoahocdoisong.vn) - Nhiều bệnh nhân bị rách, vỡ thực quản gây chảy máu ồ ạt sau khi nôn, thậm chí có trường hợp hôn mê vì mất nhiều máu. Nôn ra máu do rách thực quản còn được gọi là hội chứng Mallory-Weiss.
(khoahocdoisong.vn) - Viêm não, viêm màng não là tình trạng viêm nhiễm của nhu mô não và màng não. Là bệnh cấp cứu nguy hiểm có thể gặp ở mọi lứa tuổi do nhiều tác nhân gây nên như virus, vi khuẩn, nấm, ký sinh trùng, nấm, lao…
(khoahocdoisong.vn) - Với biểu hiện đau âm ỉ vùng thượng vị 2 ngày liền, nhầm tưởng là đau bụng thông thường, ông P.V.T. (53 tuổi, Hà Nội) vào viện khám và được chẩn đoán viêm ruột thừa, rất may bệnh nhân được mổ cấp cứu kịp thời nên không xảy ra biến chứng gì.
(khoahocdoisong.vn) - U nang ống mật chủ là bệnh khá phổ biến ở châu Á, nhất là Việt Nam. Ở trẻ em thường có triệu chứng không đặc hiệu nên bố mẹ thường dễ bỏ qua. Bệnh có nhiều biến chứng nguy hiểm nếu không được điều trị.
(khoahocdoisong.vn) - Cơ chế chính xác gây nôn và buồn nôn của hóa trị liệu chưa được biết rõ nhưng chắc chắn là mỗi thuốc tác động tại một vị trí khác nhau và một loại thuốc đôi khi gây nôn bởi nhiều vị trí.
(khoahocdoisong.vn) - Gây nôn giảm cân dịch vị từ dạ dày sẽ trào ngược lên thực quản, chất axit của dịch vị sẽ gây ra chứng viêm loét dạ dày thực quản, rất khó chữa lành. Viêm loét lâu ngày dẫn tới ung thư.
(khoahocdoisong.vn) - Trên thị trường hiện nay có rất nhiều loại thuốc diệt chuột với nhiều chủng loại, hình thù giống kẹo, màu sắc sặc sỡ và có mùi thơm nên trẻ em rất dễ nhầm tưởng là đồ ăn được. Nếu không may khi chúng nằm trong tầm tay của trẻ sẽ trở nên vô cùng nguy hiểm.
(khoahocdoisong.vn) - Không nên dùng phương pháp giảm cân bằng chất gây nôn rất nguy hiểm. Cách tốt nhất và an toàn nhất để giảm cân, giảm vòng eo là theo chế độ ăn uống hợp lý, cộng với lối sống lành mạnh và tập thể dục đều đặn.