Việc tái tạo lại cơ quan tổn khuyết sau cắt bỏ khối u lưỡi có vai trò quan trọng, giúp người bệnh phục hồi hình thể, chức năng nói, nuốt... để tái hòa nhập cộng đồng. Cần phát hiện sớm từ những vết loét nhỏ.
Người đàn ông ở TP HCM phải cắt bỏ lưỡi vì một vết loét nhỏ. Nhiều người nhầm ung thư lưỡi với nhiệt miệng, đến khi đau kéo dài gây khó nói, nhai, chảy máu lưỡi,…mới đi khám thì bệnh ở giai đoạn muộn, di căn đến phổi, gan..,
Nhiệt miệng là bệnh khá thường gặp, dù không nguy hiểm song tình trạng đau, sưng ở bên trong miệng gây không ít phiền toái và khó khăn trong việc ăn uống.
Nhiệt miệng là bệnh khá thường gặp, dù không nguy hiểm song tình trạng đau, sưng ở bên trong miệng gây không ít phiền toái và khó khăn trong việc ăn uống. Dưới đây là một số món ăn thanh mát giúp trị nhiệt miệng hiệu quả.
Sau 3 ngày dùng thuốc Nam chữa loét miệng, người đàn ông phải nhập viện cấp cứu vì sốt và mẩn ngứa toàn thân. Nhiều bệnh nhân nhập viện trong tình trạng suy gan, suy thận, rối loạn đông máu… do tin dùng thuốc “gia truyền”.
Viêm chân răng có mủ là dấu hiệu cảnh báo tình trạng sức khỏe răng miệng của bạn đang gặp vấn đề. Hiện nay, nhiều người có xu hướng sử dụng các biện pháp điều trị viêm chân răng có mủ tại nhà. Đó là những cách nào? Hãy cùng tìm hiểu trong bài viết sau!
(khoahocdoisong.vn) - Lấy kinh nghiệm của Đông y dùng các loại thảo dược như mật ong, rau ngót, cỏ mực, ngô thù du trị lở loét miệng lâu ngày khá hiệu quả.
(khoahocdoisong.vn) - Cà chua được mệnh danh là một nhà máy dinh dưỡng vì nó cung cấp rất nhiều thành phần có lợi cho sức khỏe. Biết cách sử dụng cà chua không chỉ tốt cho sức khỏe, điều trị tăng huyết áp mà còn trị ho, viêm loét miệng, viêm loét hành tá tràng...
Khi bị mụn ghé thăm, nhiệt miệng, lại thêm ợ nóng, nhiều người thường “quy tội” cho món ăn mà mình vừa thưởng thức. Vậy thực phẩm có thực sự là thủ phạm hay chỉ là sự ngẫu nhiên mà nguyên nhân thực sự cần phải được xem xét một cách khách quan.
(khoahocdoisong.vn) - Viêm lợi sưng má là bệnh răng miệng khá phổ biến có thể gặp ở mọi lứa tuổi từ trẻ nhỏ tới người già. Tuy nhiên, không phải ai cũng hiểu hết về căn bệnh này cũng như có phương pháp điều trị thích hợp. Vậy viêm lợi sưng má có nguy hiểm không và làm sao để cải thiện tình trạng này hiệu quả?
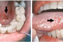
(khoahocdoisong.vn) - Hầu hết người bị bệnh ung thư khoang miệng không có cảm giác đau ở giai đoạn sớm. Biểu hiện ban đầu của bệnh chỉ là các điểm có màu trắng hoặc đỏ trong miệng hoặc trên môi, hay có một điểm sưng tấy hoặc nổi một u ở bất kỳ 1 điểm nào trong miệng...
(khoahocdoisong.vn) - Phát hiện sớm ung thư khoang miệng hoàn toàn có thể thực hiện được nhờ vào các dấu hiệu gợi ý đơn giản trong khoang miệng và răng.
Nhiệt miệng kéo dài là bệnh lý về răng miệng phổ biến. Nếu như không được phát hiện và điều trị kịp thời sẽ dẫn đến những tổn thương nghiêm trọng. Vậy bị nhiệt miệng kéo dài phải làm sao để cải thiện hiệu quả?
(khoahocdoisong.vn) - Đây là loại nước giải khát rất tốt, có tác dụngkích thích tiêu hoá, phòng chống hữu hiệu tình trạng miệng khô, lưỡi nhiệt, miệng nhiệt, trúng nắng, trúng nóng, chảy máu chân răng…
(khoahocdoisong.vn) - Viêm quanh răng là bệnh lý về răng miệng khá phổ biến hiện nay. Bệnh thường có các triệu chứng ban đầu mờ nhạt, không quá đặc trưng khiến nhiều người dễ bỏ qua, đến khi tiến triển nặng mới chữa trị thì gặp nhiều khó khăn.
(khoahocdoisong.vn) - Viêm loét miệng, lưỡi rất dễ xảy ra và hay tái phát, nhân dân ta thường gọi là nhiệt miệng. Biểu hiện của bệnh là xuất hiện những vết loét tròn, nông, có màu vàng, xung quanh viền đỏ hơn niêm mạc lành xung quanh, xuất hiện ở niêm mạc miệng, lưỡi, môi hoặc nướu răng.
(khoahocdoisong.vn) - Nhiệt miệng là chứng bệnh hay gặp ở người có máu nóng khiến tạo vết loét ở đầu lưỡi, quanh môi, có khi mọc sâu trong khoang miệng, vòm họng. Các triệu chứng như đau họng, đau lợi, môi sưng nề, ăn uống rất đau. Ngoài những thuốc bác sĩ kê, xin giới thiệu một số món ăn thanh nhiệt sau đây, tùy theo từng địa phương có thứ gì dùng đấy.