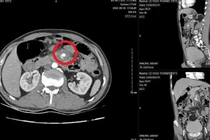
Tăm tre đâm vào mạch máu tạo giả phình mạch nguy cơ vỡ mạch đe dọa tính mạng Sức khoẻ 360 23/10/2025 19:22 Nguy hiểm hơn khi đầu tăm tiếp tục đâm vào một trong những mạch máu lớn nhất trong ổ bụng có thể gây vỡ mạch, chảy máu ồ ạt trong ổ bụng, đe dọa tính mạng.