Suýt mất bàn tay vì đốt pháo nổ
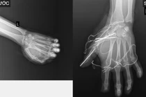
Tai nạn do pháo nổ không chỉ gây tổn thương phần mềm, dập nát bàn tay, gãy xương phức tạp mà còn bỏng gây di chứng tàn phế vĩnh viễn.
Tai nạn do pháo nổ không chỉ gây tổn thương phần mềm, dập nát bàn tay, gãy xương phức tạp mà còn bỏng gây di chứng tàn phế vĩnh viễn.