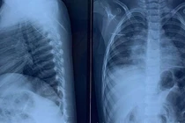
(khoahocdoisong.vn) - Kim khâu là vật nhọn và nhỏ nên có thể dễ dàng xuyên qua da vào cơ thể. Khi vào trong cơ thể, kim có thể di chuyển tới nhiều cơ quan khác nhau như cơ, khớp, phổi thậm chí chạy vào tim, gây nguy hiểm tính mạng và khiến việc phẫu thuật lấy kim trở nên rất khó khăn.
(khoahocdoisong.vn) - Đưa con đến bệnh viện do bị sốt kéo dài, cả gia đình sững sờ được bác sĩ thông báo có một đoạn kim khâu dài 17mm đang nằm trong cơ thể bé.
(khoahocdoisong.vn) - Khoa ngoại tổng hợp - Bệnh viện Nhi trung ương vừa tiếp nhận và phẫu thuật thành công gắp dị vật cho bé P.D.C. (3 tuổi), bị kim đâm xuyên thành ngực.