Lấy xương chậu ghép vào cánh tay điều trị khớp giả
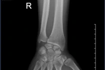
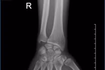
Khớp giả là tình trạng xương không liền sau phẫu thuật. Điều trị khớp giả là một quá trình khó khăn, phức tạp và lâu dài.
Khớp giả là tình trạng xương không liền sau phẫu thuật. Điều trị khớp giả là một quá trình khó khăn, phức tạp và lâu dài.