Từ khóa: đột biến gen

Đột biến gene hiếm gặp gây hiếm muộn

Đột biến gene hiếm gặp gây hiếm muộn

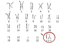
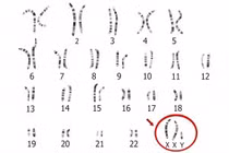
(khoahocdoisong.vn) - Đột biến mất đoạn gene trên nhiễm sắc thể Y ở nam giới là nguyên nhân của 10 - 15% trường hợp vợ chồng vô sinh, hiếm muộn tại Việt Nam về mặt di truyền. Khoảng 40% nguyên nhân vô sinh xuất phát từ nam giới.
Xét nghiệm gene tiền hôn nhân loại bỏ bệnh lý di truyền

Xét nghiệm gene tiền hôn nhân loại bỏ bệnh lý di truyền

(khoahocdoisong.vn) - Các bệnh lý di truyền đang trở thành vấn đề mới nổi cùng với nhiều khó khăn trong chẩn đoán, điều trị. Mặc dù được biết đến là các bệnh lý hiếm gặp với tần suất mắc thấp, từ 1/200.000 đến 1/2.000 nhưng do có hơn 8.000 bệnh lý di truyền khác nhau nên ước tính cứ 17 người trên thế giới thì có 1 người mắc bệnh lý di truyền.
back to top