Cứu sống bệnh nhân viêm phổi nặng có bệnh nền xơ gan
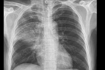
Bệnh viện Đa khoa Vân Đình vừa cứu sống bệnh nhân 52 tuổi mắc viêm phổi nặng trên nền xơ gan, viêm gan B mạn và tiền sử lạm dụng rượu.
Viêm phổi nặng do vi khuẩn kháng thuốc là một mối nguy hiểm thực sự trong thời đại hiện nay, cần hiểu rõ để bảo vệ sức khoẻ.