Bác sĩ chỉ rõ dấu hiệu, cách theo dõi nang tuyến giáp an toàn
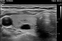
Nang tuyến giáp là một trong những rối loạn phổ biến của tuyến giáp, hình thành khi trong tuyến giáp xuất hiện một hoặc nhiều túi chứa dịch.
Nang tuyến giáp là một trong những rối loạn phổ biến của tuyến giáp, hình thành khi trong tuyến giáp xuất hiện một hoặc nhiều túi chứa dịch.