Từ khóa: Điều trị gãy cổ xương đùi

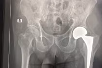
Thay khớp háng cho bệnh nhân 98 tuổi

Thay khớp háng cho bệnh nhân 98 tuổi

(khoahocdoisong.vn) - Trước đây, những bệnh nhân trên dưới 100 tuổi nếu không may bị gãy xương ở chân thông thường chịu cảnh tàn phế. Tuy nhiên, từ nhiều năm nay, Khoa Phẫu thuật khớp, Bệnh viện T.Ư Quân đội 108 đã cứu chữa thành công cho nhiều trường hợp bệnh nhân trên dưới 100 tuổi bị gãy xương đùi.
back to top