Liệu pháp sinh học điều trị ung thư dựa vào cơ chế tăng cường và phục hồi khả năng của hệ thống miễn dịch trong việc nhận diện và tiêu diệt tế bào ung thư.
Với sự nhanh nhạy và quyết đoán của các bác sĩ Bệnh viện Đa khoa Xuyên Á, người bệnh đã thoát cửa tử nhờ liệu pháp điều trị trúng đích, kịp thời và hiệu quả.
Dù bị ung thư ở giai đoạn muộn, thậm chí đã di căn nhưng người bệnh cũng không nên quá lo lắng, hoảng sợ. Hiện nay có nhiều loại thuốc mới, nhiều phương pháp điều trị mới, giúp cho việc điều trị các bệnh lý ung thư hiệu quả hơn.
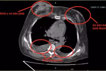
(khoahocdoisong.vn) - Mới đây, Bệnh viện T.Ư Quân đội 108 tiếp nhận một nữ bệnh nhân được chẩn đoán ung thư biểu mô tuyến thùy trên phổi phải di căn xương, đã điều trị hóa chất đáp ứng tốt nhưng vì nghe theo mách bảo trên mạng, dùng bài tập khí công có nguốn gốc nước ngoài kết hợp ăn kiêng để trị bệnh, khi quay lại bệnh viện điều trị tiếp thì sức khỏe đã yếu đi rõ rệt.
BS Ang Peng Tiam, Giám đốc Trung tâm ung thư Parkway là chuyên gia hàng đầu về điều trị ung thư ở đảo quốc Singapore, nhưng ông được nhiều bệnh nhân Việt Nam xem là người bạn, người thân trong gia đình. Vậy tại sao lại có điều này, cùng nghe những chia sẻ của người đàn ông mang đến những điều kỳ diệu này.