Ho ra máu đỏ tươi, không ngờ trẻ 3 tuổi nuốt đoạn kẽm nhung dài 2cm
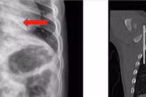
Bệnh viện Nhi đồng TP HCM cấp cứu trẻ bị hóc dị vật kẽm nhung dài 2cm, cảnh báo nguy hiểm và nhấn mạnh phòng tránh dị vật cho trẻ nhỏ.
Bệnh viện Nhi đồng TP HCM cấp cứu trẻ bị hóc dị vật kẽm nhung dài 2cm, cảnh báo nguy hiểm và nhấn mạnh phòng tránh dị vật cho trẻ nhỏ.