Từ khóa: áp xe trung thất

Áp xe trung thất nặng sau hóc xương

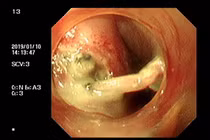
Áp xe trung thất nặng sau hóc xương

(khoahocdoisong.vn) - Bệnh nhân bị hóc xương gà trong khi ăn cơm. Sau khi chữa đủ các mẹo dân gian, bệnh nhân chịu đau, chờ bệnh tự khỏi. Nhưng sau một tuần, thực quản nhiễm trùng nặng, bệnh nhân phải đến viện gấp.
Nhổ răng khôn là khôn hay dại?

Nhổ răng khôn là khôn hay dại?

(khoahocdoisong.vn) - Biến chứng của răng số 8 rất nhiều và nguy hiểm, nặng nhất có thể gây viêm tấy lan tỏa, áp xe trung thất gây tử vong. Những trường hợp này cần phải nhổ.
back to top