Các biến chứng nguy hiểm của bệnh bụi phổi thường gặp như: Viêm phế quản mãn tính; Suy hô hấp; Ung thư phổi; Bệnh lao phổi; Suy tim do áp lực từ bên trong phổi.
(khoahocdoisong.vn) - Về bản chất, sẽ không an toàn khi sống trong một khu nhà có amiăng. Nếu vật liệu amiăng bị bở, chúng cần được loại bỏ và khắc phục ngay.
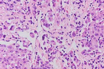
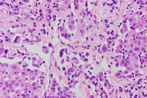
(khoahocdoisong.vn) - Amiăng là nguyên liệu chính trong các tấm lợp A-C (tấm lợp fibro/pro xi măng) được sử dụng rộng rãi trong xây dựng công trình, nhà xưởng, hộ gia đình… Khi tiếp xúc với amiăng cẩn thận hít phải bụi gây ung thư biểu mô phổi ác tính.